Re-treating failed root canal

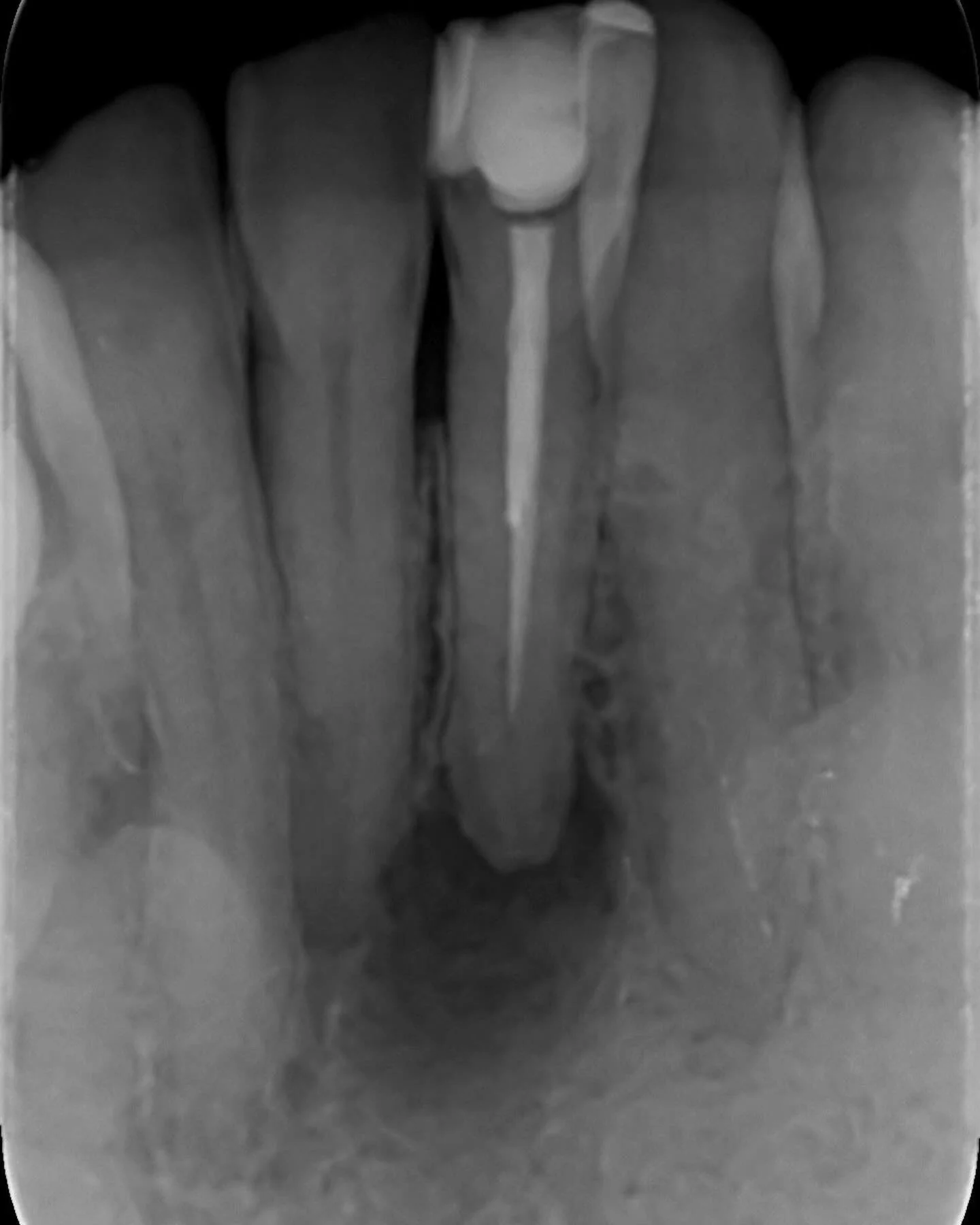
Sometimes old root canal treatments can fail. In this case, the patient found her tooth was going darker. On further inspection we located and root canal treated an extra canal. This improved the tooth colour and resulted in good healing at review.

Previous
Previous

Managing abscess

Next
Next

Replenishing old dentistry