Stabilising decay in a simple and aeshtetic manner
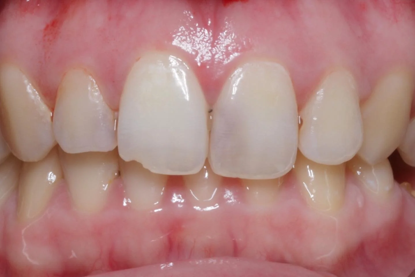
This patient had a history of anxiety. In a few sessions, we have restored her confidence in her smile with simple composite restorations/bonding.
This patient had a history of anxiety. In a few sessions, we have restored her confidence in her smile with simple composite restorations/bonding.